男,36岁,胸痛半月伴发高热,胸片发现占位性病变,CT检查如图,最可能的诊断为 ( )A、左下肺囊肿B、左下肺肺炎C、左下肺癌并空洞形成D...

作者: rantiku 人气: - 评论: 0
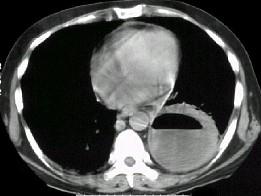
问题 男,36岁,胸痛半月伴发高热,胸片发现占位性病变,CT检查如图,最可能的诊断为 ( )
选项 A、左下肺囊肿 B、左下肺肺炎 C、左下肺癌并空洞形成 D、左侧胸腔积脓 E、左下肺肺脓肿
答案 E
解析

猜你喜欢

发表评论
更多 网友评论0 条评论)
暂无评论

访问排行

Copyright © 2012-2014 恰考网 Inc. 保留所有权利。 Powered by tikuer.com

页面耗时0.0479秒, 内存占用1.03 MB, Cache:redis,访问数据库20次