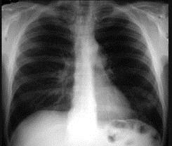
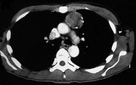
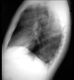
47岁,男,腹泻、体重下降,伴有重症肌无力,请结合胸片和CT选择最可能的诊断 ( )A、纵隔血肿B、错构瘤C、胸腺瘤D、淋巴瘤...

作者: rantiku 人气: - 评论: 0
问题 47岁,男,腹泻、体重下降,伴有重症肌无力,请结合胸片和CT选择最可能的诊断 ( )
选项 A、纵隔血肿 B、错构瘤 C、胸腺瘤 D、淋巴瘤 E、胸腺增生
答案 C
解析

猜你喜欢

发表评论
更多 网友评论0 条评论)
暂无评论

访问排行

Copyright © 2012-2014 恰考网 Inc. 保留所有权利。 Powered by tikuer.com

页面耗时0.0331秒, 内存占用1.03 MB, Cache:redis,访问数据库19次