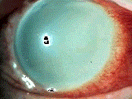
患者,男性,70岁,右眼胀痛1周入院。检查右眼视力0.06,结膜混合性充血,角膜混浊,晶状体膨胀,前房浅(如图),眼底不清,该患者最有可能的诊断是 ( )...

作者: rantiku 人气: - 评论: 0
问题 患者,男性,70岁,右眼胀痛1周入院。检查右眼视力0.06,结膜混合性充血,角膜混浊,晶状体膨胀,前房浅(如图),眼底不清,该患者最有可能的诊断是 ( )
选项 A、恶性青光眼 B、原发性开角型青光眼 C、恶性青光眼 D、晶状体源性型青光眼 E、急性闭角型青光眼
答案 D
解析

猜你喜欢

发表评论
更多 网友评论0 条评论)
暂无评论

访问排行

Copyright © 2012-2014 恰考网 Inc. 保留所有权利。 Powered by tikuer.com

页面耗时0.0430秒, 内存占用1.03 MB, Cache:redis,访问数据库18次