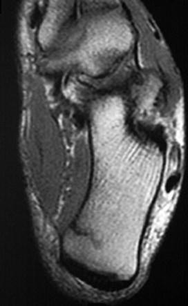
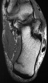
女,48岁,長跑运动员,左跟骨部痛,结合图像,最可能的诊断是 ( )A、左踝关节退行性变B、应力性骨折C、左跟骨骨髄炎D、结核...

作者: rantiku 人气: - 评论: 0
问题 女,48岁,長跑运动员,左跟骨部痛,结合图像,最可能的诊断是 ( )
选项 A、左踝关节退行性变 B、应力性骨折 C、左跟骨骨髄炎 D、结核 E、未见异常
答案 B
解析

猜你喜欢

发表评论
更多 网友评论0 条评论)
暂无评论

访问排行

Copyright © 2012-2014 恰考网 Inc. 保留所有权利。 Powered by tikuer.com

页面耗时0.0419秒, 内存占用1.03 MB, Cache:redis,访问数据库20次