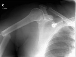
30岁男性,外伤,查体:上臂较对侧短4cm,有轻度成角畸形,听诊骨传导音明显减弱,X线片见图,骨折的移位是 ( )A、混合移位B、侧方移位C、...

作者: rantiku 人气: - 评论: 0
问题 30岁男性,外伤,查体:上臂较对侧短4cm,有轻度成角畸形,听诊骨传导音明显减弱,X线片见图,骨折的移位是 ( )
选项 A、混合移位 B、侧方移位 C、成角移位 D、分离移位 E、短缩移位
答案 A
解析

猜你喜欢

发表评论
更多 网友评论0 条评论)
暂无评论

访问排行

Copyright © 2012-2014 恰考网 Inc. 保留所有权利。 Powered by tikuer.com

页面耗时0.0447秒, 内存占用1.03 MB, Cache:redis,访问数据库17次