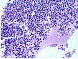
患者男,26岁,鼻腔肿瘤3个月,取活检,镜下显示如下图。(仅供病理专业医师参考)??对于发生于鼻腔的上述组织象的恶性肿瘤,需要鉴别的肿瘤类型包括A...

作者: rantiku 人气: - 评论: 0
问题 患者男,26岁,鼻腔肿瘤3个月,取活检,镜下显示如下图。(仅供病理专业医师参考) ?? 对于发生于鼻腔的上述组织象的恶性肿瘤,需要鉴别的肿瘤类型包括
选项 A.淋巴瘤 B.小细胞癌 C.嗅母细胞瘤 D.黑色素瘤 E.尤因肉瘤(Ewing?sarcoma) F.鳞状细胞癌 G.内翻性乳头状瘤 H.横纹肌肉瘤
答案 ABCDEH
解析 ABCDEH

猜你喜欢

发表评论
更多 网友评论0 条评论)
暂无评论

访问排行

Copyright © 2012-2014 恰考网 Inc. 保留所有权利。 Powered by tikuer.com

页面耗时0.0550秒, 内存占用1.03 MB, Cache:redis,访问数据库20次