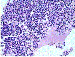
患者男,26岁,鼻腔肿瘤3个月,取活检,镜下显示如下图。(仅供病理专业医师参考)??针对需要鉴别的肿瘤类型可选择的免疫标志物包括A.LCAB....

作者: rantiku 人气: - 评论: 0
问题 患者男,26岁,鼻腔肿瘤3个月,取活检,镜下显示如下图。(仅供病理专业医师参考) ?? 针对需要鉴别的肿瘤类型可选择的免疫标志物包括
选项 A.LCA B.Vimentin C.Desmin D.CD99 E.inhibin F.CK G.TTF-1 H.ER I.HMB45
答案 ABCDFGI
解析 ABCDFGI

猜你喜欢

发表评论
更多 网友评论0 条评论)
暂无评论

访问排行

Copyright © 2012-2014 恰考网 Inc. 保留所有权利。 Powered by tikuer.com

页面耗时0.0395秒, 内存占用1.03 MB, Cache:redis,访问数据库14次