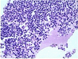
患者男,26岁,鼻腔肿瘤3个月,取活检,镜下显示如下图。(仅供病理专业医师参考)??根据组织象及所给出的免疫组织化学染色MyoD-1,可以符合的诊...

作者: rantiku 人气: - 评论: 0
问题 患者男,26岁,鼻腔肿瘤3个月,取活检,镜下显示如下图。(仅供病理专业医师参考) ?? 根据组织象及所给出的免疫组织化学染色MyoD-1,可以符合的诊断是(提示 免疫组织化学MyoD-1见下图。)
选项 A.淋巴瘤 B.小细胞癌 C.嗅母细胞瘤 D.黑色素瘤 E.尤因肉瘤(Ewing?sarcoma) F.鳞状细胞癌 G.内翻性乳头状瘤 H.横纹肌肉瘤
答案 H
解析 H

猜你喜欢

发表评论
更多 网友评论0 条评论)
暂无评论

访问排行

Copyright © 2012-2014 恰考网 Inc. 保留所有权利。 Powered by tikuer.com

页面耗时0.0332秒, 内存占用1.03 MB, Cache:redis,访问数据库14次