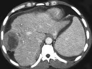
女,47岁,曾患乙肝,现右上腹及肝区疼痛、腹胀,消瘦乏力半月,AFP阳性,CT扫描如图,请选择最可能答案()A.肝癌B.肝血管瘤C.肝脓肿...

作者: rantiku 人气: - 评论: 0
问题 女,47岁,曾患乙肝,现右上腹及肝区疼痛、腹胀,消瘦乏力半月,AFP阳性,CT扫描如图,请选择最可能答案()
选项 A.肝癌 B.肝血管瘤 C.肝脓肿 D.肝转移瘤 E.肝包虫病
答案 A
解析

猜你喜欢

发表评论
更多 网友评论0 条评论)
暂无评论

访问排行

Copyright © 2012-2014 恰考网 Inc. 保留所有权利。 Powered by tikuer.com

页面耗时0.0500秒, 内存占用1.02 MB, Cache:redis,访问数据库14次