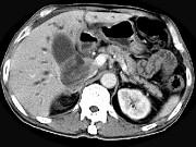
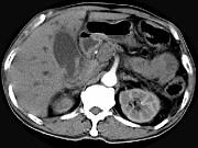
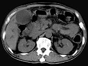
男,58岁,患者右季肋区疼痛,皮肤黄染,可触及肿大胆囊,B超提示胆囊颈部肿块影,CT所见如图,最可能的诊断是()A.胆囊息肉B.胆囊癌...

作者: rantiku 人气: - 评论: 0
问题 男,58岁,患者右季肋区疼痛,皮肤黄染,可触及肿大胆囊,B超提示胆囊颈部肿块影,CT所见如图,最可能的诊断是()
选项 A.胆囊息肉 B.胆囊癌 C.胆囊黄色肉芽肿 D.慢性胆囊炎 E.胆囊腺肌增生症
答案 B
解析

猜你喜欢

发表评论
更多 网友评论0 条评论)
暂无评论

访问排行

Copyright © 2012-2014 恰考网 Inc. 保留所有权利。 Powered by tikuer.com

页面耗时0.0653秒, 内存占用1.03 MB, Cache:redis,访问数据库18次