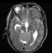
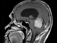
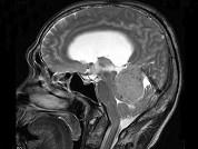
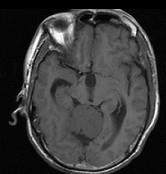
男,61岁,头晕头痛伴行走不稳1月余,请根据所提供图像,选择最可能的诊断()A.胶质瘤B.髓母细胞瘤C.(天幕切迹缘)脑膜瘤D...

作者: rantiku 人气: - 评论: 0
问题 男,61岁,头晕头痛伴行走不稳1月余,请根据所提供图像,选择最可能的诊断()
选项 A.胶质瘤 B.髓母细胞瘤 C.(天幕切迹缘)脑膜瘤 D.转移瘤 E.淋巴瘤
答案 C
解析

猜你喜欢

发表评论
更多 网友评论0 条评论)
暂无评论

访问排行

Copyright © 2012-2014 恰考网 Inc. 保留所有权利。 Powered by tikuer.com

页面耗时0.0328秒, 内存占用1.03 MB, Cache:redis,访问数据库20次