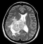
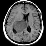
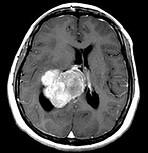
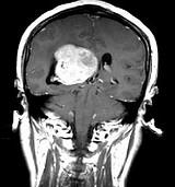
女,45岁,右眼视力下降8个月,右颜面麻木半个月,时有头昏,味觉减退,请根据所提供图像,选择最可能的诊断()A.(右侧脑室)脑膜瘤(合体细...

作者: rantiku 人气: - 评论: 0
问题 女,45岁,右眼视力下降8个月,右颜面麻木半个月,时有头昏,味觉减退,请根据所提供图像,选择最可能的诊断()
选项 A.(右侧脑室)脑膜瘤(合体细胞型) B.(右侧脑室)室管膜瘤 C.(右侧脑室)脉络膜乳头状瘤 D.(右侧脑室)胶质瘤 E.(右侧脑室)转移瘤
答案 A
解析

猜你喜欢

发表评论
更多 网友评论0 条评论)
暂无评论

访问排行

Copyright © 2012-2014 恰考网 Inc. 保留所有权利。 Powered by tikuer.com

页面耗时0.0816秒, 内存占用1.03 MB, Cache:redis,访问数据库15次