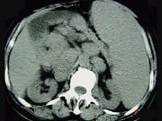
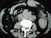
女,30岁,腹痛腹泻、恶心呕吐、皮肤瘙痒,影像检查如图,最佳诊断是()A.恶性淋巴瘤B.腹膜后淋巴结核C.腹膜后转移瘤D.神经...

作者: rantiku 人气: - 评论: 0
问题 女,30岁,腹痛腹泻、恶心呕吐、皮肤瘙痒,影像检查如图,最佳诊断是()
选项 A.恶性淋巴瘤 B.腹膜后淋巴结核 C.腹膜后转移瘤 D.神经纤维瘤 E.神经鞘瘤
答案 A
解析

猜你喜欢

发表评论
更多 网友评论0 条评论)
暂无评论

访问排行

Copyright © 2012-2014 恰考网 Inc. 保留所有权利。 Powered by tikuer.com

页面耗时0.0380秒, 内存占用1.03 MB, Cache:redis,访问数据库19次