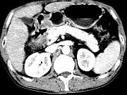
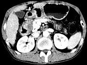
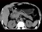
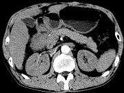
女,63岁,右上腹疼痛,呈不规律性钝痛,伴恶心,时有呕吐,呕吐物为胃内容物混有胆汁,CT检查如图,最可能的诊断是()A.十二指肠克罗恩病 ...

作者: rantiku 人气: - 评论: 0
问题 女,63岁,右上腹疼痛,呈不规律性钝痛,伴恶心,时有呕吐,呕吐物为胃内容物混有胆汁,CT检查如图,最可能的诊断是()
选项 A.十二指肠克罗恩病 B.十二指肠结核 C.十二指肠癌 D.十二指肠淋巴瘤 E.十二指肠平滑肌瘤
答案 C
解析

猜你喜欢

发表评论
更多 网友评论0 条评论)
暂无评论

访问排行

Copyright © 2012-2014 恰考网 Inc. 保留所有权利。 Powered by tikuer.com

页面耗时0.0345秒, 内存占用1.03 MB, Cache:redis,访问数据库20次