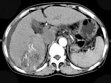
女性,55岁,曾患乙肝,肝硬化多年,右上腹胀痛1月余,CT检查如图所示,最可能的诊断是()A.肝硬化腹水、下腔静脉血栓形成B.肝硬化腹...

作者: rantiku 人气: - 评论: 0
问题 女性,55岁,曾患乙肝,肝硬化多年,右上腹胀痛1月余,CT检查如图所示,最可能的诊断是()
选项 A.肝硬化腹水、下腔静脉血栓形成 B.肝硬化腹水、胆管细胞癌 C.肝硬化腹水、肝癌并下腔静脉癌栓 D.肝硬化腹水、肝脓肿 E.肝硬化腹水、肝血管瘤
答案 C
解析

猜你喜欢

发表评论
更多 网友评论0 条评论)
暂无评论

访问排行

Copyright © 2012-2014 恰考网 Inc. 保留所有权利。 Powered by tikuer.com

页面耗时0.0289秒, 内存占用1.03 MB, Cache:redis,访问数据库17次