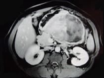
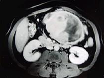
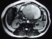
男,36岁,腹胀、消化不良、消瘦、中上腹痛,影像检查如下图,最可能的诊断是()A.胃间质肉瘤并肝转移B.胃间质瘤并原发性肝癌C.内...

作者: rantiku 人气: - 评论: 0
问题 男,36岁,腹胀、消化不良、消瘦、中上腹痛,影像检查如下图,最可能的诊断是()
选项 A.胃间质肉瘤并肝转移 B.胃间质瘤并原发性肝癌 C.内胚窦瘤肝转移 D.胃淋巴瘤伴原发性肝癌 E.胃间质瘤并肝血管瘤
答案 A
解析

猜你喜欢

发表评论
更多 网友评论0 条评论)
暂无评论

访问排行

Copyright © 2012-2014 恰考网 Inc. 保留所有权利。 Powered by tikuer.com

页面耗时0.0517秒, 内存占用1.03 MB, Cache:redis,访问数据库20次