女,32岁,头痛、右侧肢体功能障碍约1年,声间嘶哑,饮水呛咳,请根据所提供图像,选择最可能的诊断()A.(斜坡)脑膜瘤B.(斜坡)脊索...

作者: rantiku 人气: - 评论: 0
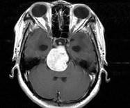
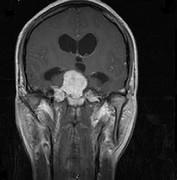
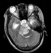
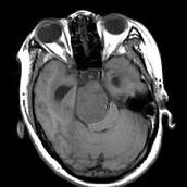
问题 女,32岁,头痛、右侧肢体功能障碍约1年,声间嘶哑,饮水呛咳,请根据所提供图像,选择最可能的诊断()
选项 A.(斜坡)脑膜瘤 B.(斜坡)脊索瘤 C.(斜坡)神经鞘瘤 D.(斜坡)软骨瘤 E.(斜坡)海绵状血管瘤
答案 C
解析

猜你喜欢

发表评论
更多 网友评论0 条评论)
暂无评论

访问排行

Copyright © 2012-2014 恰考网 Inc. 保留所有权利。 Powered by tikuer.com

页面耗时0.0441秒, 内存占用1.03 MB, Cache:redis,访问数据库18次