男,50岁,黄疸进行性加重、腹部胀痛不适、食欲减退、体重减轻、上腹部可触及肿块,CT如图,最可能的诊断为()A.急性胰腺炎B.慢性胰腺...

作者: rantiku 人气: - 评论: 0
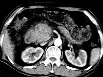
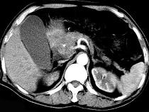
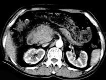
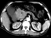
问题 男,50岁,黄疸进行性加重、腹部胀痛不适、食欲减退、体重减轻、上腹部可触及肿块,CT如图,最可能的诊断为()
选项 A.急性胰腺炎 B.慢性胰腺炎 C.胰头癌 D.腹膜后淋巴瘤 E.转移瘤
答案 C
解析

猜你喜欢

发表评论
更多 网友评论0 条评论)
暂无评论

访问排行

Copyright © 2012-2014 恰考网 Inc. 保留所有权利。 Powered by tikuer.com

页面耗时0.0513秒, 内存占用1.03 MB, Cache:redis,访问数据库18次