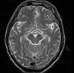
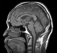
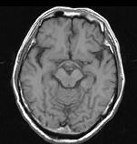
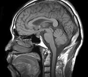
男,头痛7月余,伴左侧面部麻木,疼痛剧烈时伴恶心,无呕吐,请根据所提供图像,选择最可能的诊断()A.垂体瘤B.颅咽管瘤C....

作者: rantiku 人气: - 评论: 0
问题 男,头痛7月余,伴左侧面部麻木,疼痛剧烈时伴恶心,无呕吐,请根据所提供图像,选择最可能的诊断()
选项 A.垂体瘤 B.颅咽管瘤 C.生殖细胞瘤 D.脑膜瘤 E.胶质瘤
答案 B
解析

猜你喜欢

发表评论
更多 网友评论0 条评论)
暂无评论

访问排行

Copyright © 2012-2014 恰考网 Inc. 保留所有权利。 Powered by tikuer.com

页面耗时0.0713秒, 内存占用1.03 MB, Cache:redis,访问数据库18次