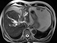
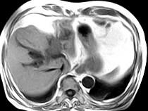
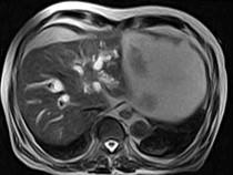
男,43岁,右上腹痛,黄疸,AFP阴性,消瘦乏力,影像检查如下图,诊断为()A.急性化脓性胆管炎B.胆管癌C.脂肪肝D.原发性...

作者: rantiku 人气: - 评论: 0
问题 男,43岁,右上腹痛,黄疸,AFP阴性,消瘦乏力,影像检查如下图,诊断为()
选项 A.急性化脓性胆管炎 B.胆管癌 C.脂肪肝 D.原发性肝癌 E.肝血管瘤
答案 B
解析

猜你喜欢

发表评论
更多 网友评论0 条评论)
暂无评论

访问排行

Copyright © 2012-2014 恰考网 Inc. 保留所有权利。 Powered by tikuer.com

页面耗时0.0462秒, 内存占用1.03 MB, Cache:redis,访问数据库20次