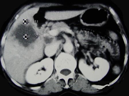
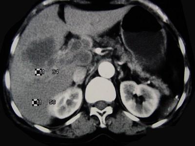
女,65岁,右季肋区疼痛二个月,CT扫描所见如图,最可能的诊断是()A.慢性胆囊炎B.胆囊癌腹膜后淋巴结转移C.胆管细胞癌D....

作者: rantiku 人气: - 评论: 0
问题 女,65岁,右季肋区疼痛二个月,CT扫描所见如图,最可能的诊断是()
选项 A.慢性胆囊炎 B.胆囊癌腹膜后淋巴结转移 C.胆管细胞癌 D.胆囊黄色肉芽肿 E.胆囊腺肌增生症
答案 B
解析

猜你喜欢

发表评论
更多 网友评论0 条评论)
暂无评论

访问排行

Copyright © 2012-2014 恰考网 Inc. 保留所有权利。 Powered by tikuer.com

页面耗时0.0453秒, 内存占用1.03 MB, Cache:redis,访问数据库20次