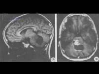
脑干肿瘤最多见的是()A.胶质瘤B.海绵状血管瘤C.血管母细胞瘤D.血管网状细胞瘤E.以上都不对

作者: rantiku 人气: - 评论: 0
问题 脑干肿瘤最多见的是()
选项 A.胶质瘤 B.海绵状血管瘤 C.血管母细胞瘤 D.血管网状细胞瘤 E.以上都不对
答案 A
解析

猜你喜欢

发表评论
更多 网友评论0 条评论)
暂无评论

访问排行

Copyright © 2012-2014 恰考网 Inc. 保留所有权利。 Powered by tikuer.com

页面耗时0.0424秒, 内存占用1.03 MB, Cache:redis,访问数据库20次