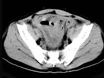
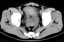
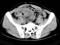
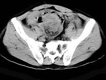
58岁,间断腹部隐痛9个月,贫血3个月,近日加重并伴有柏油样便,CT所见如图,最可能诊断是()A.小肠淋巴瘤B.小肠恶性间质瘤C....

作者: rantiku 人气: - 评论: 0
问题 58岁,间断腹部隐痛9个月,贫血3个月,近日加重并伴有柏油样便,CT所见如图,最可能诊断是()
选项 A.小肠淋巴瘤 B.小肠恶性间质瘤 C.小肠重复畸形 D.小肠癌 E.小肠淋巴肉瘤
答案 E
解析

猜你喜欢

发表评论
更多 网友评论0 条评论)
暂无评论

访问排行

Copyright © 2012-2014 恰考网 Inc. 保留所有权利。 Powered by tikuer.com

页面耗时0.0499秒, 内存占用1.03 MB, Cache:redis,访问数据库13次