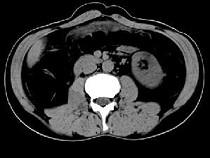
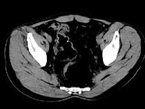
女,51岁,腹胀、腹痛、进行性消瘦,影像检查如下图,最佳诊断是()A.乙状结肠Crohn病B.乙状结肠结核C.乙状结肠癌D.乙...

作者: rantiku 人气: - 评论: 0
问题 女,51岁,腹胀、腹痛、进行性消瘦,影像检查如下图,最佳诊断是()
选项 A.乙状结肠Crohn病 B.乙状结肠结核 C.乙状结肠癌 D.乙状结肠淋巴瘤 E.乙状结肠息肉
答案 C
解析

猜你喜欢

发表评论
更多 网友评论0 条评论)
暂无评论

访问排行

Copyright © 2012-2014 恰考网 Inc. 保留所有权利。 Powered by tikuer.com

页面耗时0.0460秒, 内存占用1.03 MB, Cache:redis,访问数据库18次