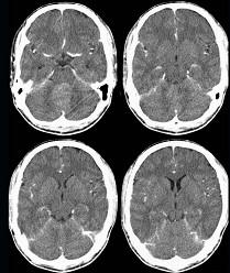
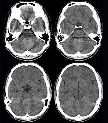
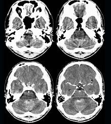
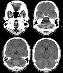
男,16岁,头痛、呕吐10天,CT检查如图所示,最可能的诊断为()A.脑膜瘤B.髓母细胞瘤C.室管膜瘤D.脑血管瘤E.血管...

作者: rantiku 人气: - 评论: 0
问题 男,16岁,头痛、呕吐10天,CT检查如图所示,最可能的诊断为()
选项 A.脑膜瘤 B.髓母细胞瘤 C.室管膜瘤 D.脑血管瘤 E.血管母细胞瘤
答案 B
解析

猜你喜欢

发表评论
更多 网友评论0 条评论)
暂无评论

访问排行

Copyright © 2012-2014 恰考网 Inc. 保留所有权利。 Powered by tikuer.com

页面耗时0.0594秒, 内存占用1.03 MB, Cache:redis,访问数据库19次