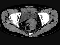
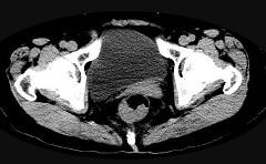
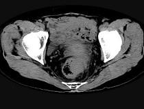
男,56岁,排便形状改变,便不尽感,CT检查如图所示,下列说法正确的是()A.肠壁上有蒂状新生物B.其表面光滑,边界清楚C.肠腔未...

作者: rantiku 人气: - 评论: 0
问题 男,56岁,排便形状改变,便不尽感,CT检查如图所示,下列说法正确的是()
选项 A.肠壁上有蒂状新生物 B.其表面光滑,边界清楚 C.肠腔未见狭窄 D.此为直肠息肉 E.此为直肠癌
答案 E
解析

猜你喜欢

发表评论
更多 网友评论0 条评论)
暂无评论

访问排行

Copyright © 2012-2014 恰考网 Inc. 保留所有权利。 Powered by tikuer.com

页面耗时0.0358秒, 内存占用1.03 MB, Cache:redis,访问数据库19次