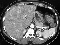
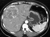
女,65岁,肝区疼痛1月余,CT检查如图,最可能的诊断是()A.原发性肝癌B.类癌转移至肝C.肝腺瘤D.肝血管瘤E.肝错构瘤

作者: rantiku 人气: - 评论: 0
问题 女,65岁,肝区疼痛1月余,CT检查如图,最可能的诊断是()
选项 A.原发性肝癌 B.类癌转移至肝 C.肝腺瘤 D.肝血管瘤 E.肝错构瘤
答案 B
解析

猜你喜欢

发表评论
更多 网友评论0 条评论)
暂无评论

访问排行

Copyright © 2012-2014 恰考网 Inc. 保留所有权利。 Powered by tikuer.com

页面耗时0.0372秒, 内存占用1.03 MB, Cache:redis,访问数据库20次