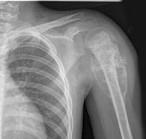
男,28岁,右上臂肿胀、疼痛;无发热,无外伤史,请结合影像图像,选择最可能诊断()A.骨肉瘤B.成骨性骨转移瘤C.化脓性骨髓炎D.滑膜...

作者: rantiku 人气: - 评论: 0
问题 男,28岁,右上臂肿胀、疼痛;无发热,无外伤史,请结合影像图像,选择最可能诊断()
选项 A.骨肉瘤 B.成骨性骨转移瘤 C.化脓性骨髓炎 D.滑膜肉瘤 E.骨巨细胞瘤
答案 A
解析

猜你喜欢

发表评论
更多 网友评论0 条评论)
暂无评论

访问排行

Copyright © 2012-2014 恰考网 Inc. 保留所有权利。 Powered by tikuer.com

页面耗时0.0384秒, 内存占用1.03 MB, Cache:redis,访问数据库20次