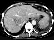
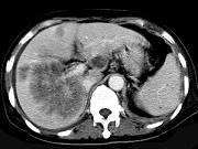
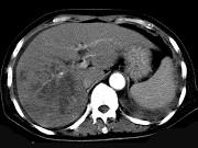
男,42岁,中上腹痛,轻度黄疸,结合CT图像,提出最可能的诊断()A.肝脓肿B.肝多发性囊肿C.肝癌肝内转移伴门脉癌栓形成D.胆管...

作者: rantiku 人气: - 评论: 0
问题 男,42岁,中上腹痛,轻度黄疸,结合CT图像,提出最可能的诊断()
选项 A.肝脓肿 B.肝多发性囊肿 C.肝癌肝内转移伴门脉癌栓形成 D.胆管细胞癌 E.肝血管瘤
答案 C
解析

猜你喜欢

发表评论
更多 网友评论0 条评论)
暂无评论

访问排行

Copyright © 2012-2014 恰考网 Inc. 保留所有权利。 Powered by tikuer.com

页面耗时0.0392秒, 内存占用1.03 MB, Cache:redis,访问数据库19次