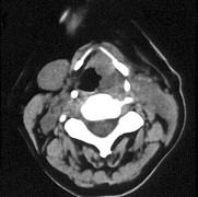
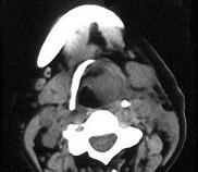
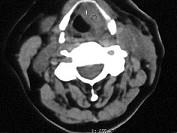
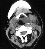
女、54岁,鼻咽部异物感约三个月,PE:左侧声带固定,可见肿物,CT如图所示,应诊断为()A.喉部乳头状瘤B.喉癌C.喉部血管瘤 ...

作者: rantiku 人气: - 评论: 0
问题 女、54岁,鼻咽部异物感约三个月,PE:左侧声带固定,可见肿物,CT如图所示,应诊断为()
选项 A.喉部乳头状瘤 B.喉癌 C.喉部血管瘤 D.慢性增生性喉炎 E.增生型喉结核
答案 B
解析

猜你喜欢

发表评论
更多 网友评论0 条评论)
暂无评论

访问排行

Copyright © 2012-2014 恰考网 Inc. 保留所有权利。 Powered by tikuer.com

页面耗时0.0598秒, 内存占用1.03 MB, Cache:redis,访问数据库20次