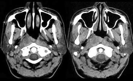
男,52岁,右耳鸣两月余,伴鼻塞,CT如图所示,应诊断为()A.鼻咽淋巴瘤B.鼻咽纤维血管瘤C.增殖体肥大D.鼻咽癌E.鼻咽部慢性炎症

作者: rantiku 人气: - 评论: 0
问题 男,52岁,右耳鸣两月余,伴鼻塞,CT如图所示,应诊断为()
选项 A.鼻咽淋巴瘤 B.鼻咽纤维血管瘤 C.增殖体肥大 D.鼻咽癌 E.鼻咽部慢性炎症
答案 D
解析

猜你喜欢

发表评论
更多 网友评论0 条评论)
暂无评论

访问排行

Copyright © 2012-2014 恰考网 Inc. 保留所有权利。 Powered by tikuer.com

页面耗时0.0462秒, 内存占用1.02 MB, Cache:redis,访问数据库14次