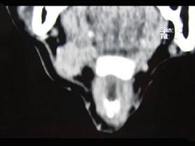
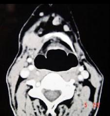
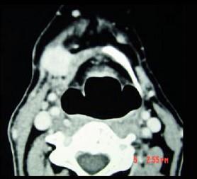
男,45岁,右侧颌下扪及一包块约4个月,无痛,PE:包块质硬,表面欠光整,移动度较差,CT如图所示,最可能诊断是()A.颌下腺神经源性肿瘤...

作者: rantiku 人气: - 评论: 0
问题 男,45岁,右侧颌下扪及一包块约4个月,无痛,PE:包块质硬,表面欠光整,移动度较差,CT如图所示,最可能诊断是()
选项 A.颌下腺神经源性肿瘤 B.颌下腺腺瘤 C.颌下腺淋巴瘤 D.颌下腺腺癌 E.颌下腺转移瘤
答案 D
解析

猜你喜欢

发表评论
更多 网友评论0 条评论)
暂无评论

访问排行

Copyright © 2012-2014 恰考网 Inc. 保留所有权利。 Powered by tikuer.com

页面耗时0.1105秒, 内存占用1.03 MB, Cache:redis,访问数据库20次