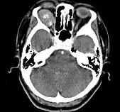
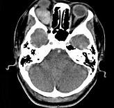
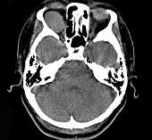
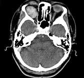
41岁女性,右眼胀痛、眼球外突3月余,体检,发现低头时右侧眼球外突加重,CT检查如图所示,请选择最可能诊断()A.右侧眶内血管瘤B.右...

作者: rantiku 人气: - 评论: 0
问题 41岁女性,右眼胀痛、眼球外突3月余,体检,发现低头时右侧眼球外突加重,CT检查如图所示,请选择最可能诊断()
选项 A.右侧眶内血管瘤 B.右侧眶内炎性假瘤 C.眼型格氏病 D.右侧眶内神经鞘瘤 E.右侧眶内皮样囊肿
答案 A
解析

猜你喜欢

发表评论
更多 网友评论0 条评论)
暂无评论

访问排行

Copyright © 2012-2014 恰考网 Inc. 保留所有权利。 Powered by tikuer.com

页面耗时0.0411秒, 内存占用1.03 MB, Cache:redis,访问数据库20次