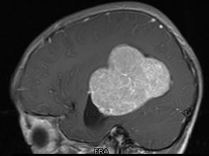
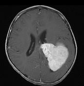
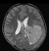
男,8岁,头痛伴呕吐,左侧眼视物不适5天,请根据所提供图像,选择最可能的诊断()A.(左侧脑室)脑膜瘤B.(左侧脑室)室管膜瘤C....

作者: rantiku 人气: - 评论: 0
问题 男,8岁,头痛伴呕吐,左侧眼视物不适5天,请根据所提供图像,选择最可能的诊断()
选项 A.(左侧脑室)脑膜瘤 B.(左侧脑室)室管膜瘤 C.(左侧脑室)脉络丛乳头状瘤 D.(左侧脑室)胶质瘤 E.(左侧脑室)少突胶质细胞瘤
答案 C
解析

猜你喜欢

发表评论
更多 网友评论0 条评论)
暂无评论

访问排行

Copyright © 2012-2014 恰考网 Inc. 保留所有权利。 Powered by tikuer.com

页面耗时0.0314秒, 内存占用1.03 MB, Cache:redis,访问数据库20次