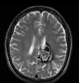
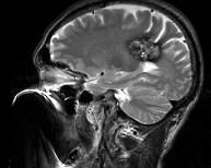
男,59岁,反复头晕头痛半年余,重体力活时头痛明显,请根据所提供图像,选择最可能的诊断()A.(左顶)海绵状血管瘤B.(左顶)室管膜瘤...

作者: rantiku 人气: - 评论: 0
问题 男,59岁,反复头晕头痛半年余,重体力活时头痛明显,请根据所提供图像,选择最可能的诊断()
选项 A.(左顶)海绵状血管瘤 B.(左顶)室管膜瘤 C.(左侧脑室)胶质瘤 D.(左侧脑室)脉络膜乳头状瘤 E.(左顶)动静脉血管畸形
答案 A
解析

猜你喜欢

发表评论
更多 网友评论0 条评论)
暂无评论

访问排行

Copyright © 2012-2014 恰考网 Inc. 保留所有权利。 Powered by tikuer.com

页面耗时0.0685秒, 内存占用1.03 MB, Cache:redis,访问数据库18次