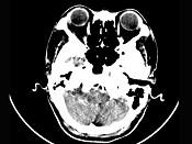
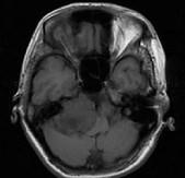
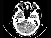
女,45岁,右耳听力下降半年余,CT检查如图,最可能诊断为()A.继发性胆脂瘤B.脑膜瘤C.三叉神经瘤D.原发性胆脂瘤E....

作者: rantiku 人气: - 评论: 0
问题 女,45岁,右耳听力下降半年余,CT检查如图,最可能诊断为()
选项 A.继发性胆脂瘤 B.脑膜瘤 C.三叉神经瘤 D.原发性胆脂瘤 E.听神经瘤
答案 E
解析

猜你喜欢

发表评论
更多 网友评论0 条评论)
暂无评论

访问排行

Copyright © 2012-2014 恰考网 Inc. 保留所有权利。 Powered by tikuer.com

页面耗时0.0360秒, 内存占用1.03 MB, Cache:redis,访问数据库18次