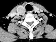
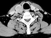
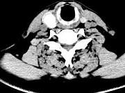
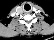
男,43岁,右颈部扪及一包块,CT如图所示,应诊断为()A.甲状腺腺瘤B.甲状腺腺癌C.结节性甲状腺肿D.甲状腺原发淋巴瘤...

作者: rantiku 人气: - 评论: 0
问题 男,43岁,右颈部扪及一包块,CT如图所示,应诊断为()
选项 A.甲状腺腺瘤 B.甲状腺腺癌 C.结节性甲状腺肿 D.甲状腺原发淋巴瘤 E.甲状腺转移瘤
答案 A
解析

猜你喜欢

发表评论
更多 网友评论0 条评论)
暂无评论

访问排行

Copyright © 2012-2014 恰考网 Inc. 保留所有权利。 Powered by tikuer.com

页面耗时0.0470秒, 内存占用1.03 MB, Cache:redis,访问数据库15次