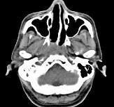
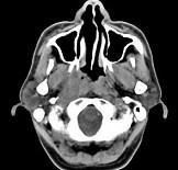
男,52岁,血涕二月余,CT如图所示,最可能的诊断为()A.鼻咽癌B.咽旁混合瘤C.咽部神经纤维瘤D.小涎液腺瘤E.咽旁脓肿

作者: rantiku 人气: - 评论: 0
问题 男,52岁,血涕二月余,CT如图所示,最可能的诊断为()
选项 A.鼻咽癌 B.咽旁混合瘤 C.咽部神经纤维瘤 D.小涎液腺瘤 E.咽旁脓肿
答案 A
解析

猜你喜欢

发表评论
更多 网友评论0 条评论)
暂无评论

访问排行

Copyright © 2012-2014 恰考网 Inc. 保留所有权利。 Powered by tikuer.com

页面耗时0.0462秒, 内存占用1.03 MB, Cache:redis,访问数据库20次