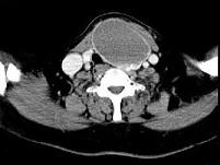
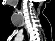
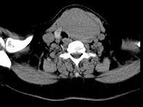
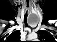
女,56岁,发现颈部肿块1月余,CT如图所示,最可能诊断为()A.甲状舌管囊肿B.甲状腺乳头状癌C.甲状腺原发淋巴瘤D.甲状腺...

作者: rantiku 人气: - 评论: 0
问题 女,56岁,发现颈部肿块1月余,CT如图所示,最可能诊断为()
选项 A.甲状舌管囊肿 B.甲状腺乳头状癌 C.甲状腺原发淋巴瘤 D.甲状腺腺瘤 E.甲状腺脓肿
答案 D
解析

猜你喜欢

发表评论
更多 网友评论0 条评论)
暂无评论

访问排行

Copyright © 2012-2014 恰考网 Inc. 保留所有权利。 Powered by tikuer.com

页面耗时0.0689秒, 内存占用1.03 MB, Cache:redis,访问数据库20次