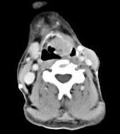
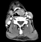
男,53岁,咽部不适半年余,近两个月感咽部疼痛,声嘶,CT如图所示,应诊断为()A.乳头状瘤B.喉癌C.梨状窝癌D.喉肉芽肿 ...

作者: rantiku 人气: - 评论: 0
问题 男,53岁,咽部不适半年余,近两个月感咽部疼痛,声嘶,CT如图所示,应诊断为()
选项 A.乳头状瘤 B.喉癌 C.梨状窝癌 D.喉肉芽肿 E.喉部纤维瘤
答案 B
解析

猜你喜欢

发表评论
更多 网友评论0 条评论)
暂无评论

访问排行

Copyright © 2012-2014 恰考网 Inc. 保留所有权利。 Powered by tikuer.com

页面耗时0.0538秒, 内存占用1.03 MB, Cache:redis,访问数据库13次