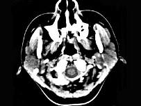
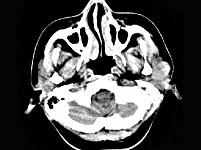
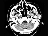
女,28岁,左耳前肿块34月余,PE:左侧耳前可触及肿块,境界尚清、质硬、活动度尚可,CT如图所示,最可能诊断为()A.神经纤维瘤B....

作者: rantiku 人气: - 评论: 0
问题 女,28岁,左耳前肿块34月余,PE:左侧耳前可触及肿块,境界尚清、质硬、活动度尚可,CT如图所示,最可能诊断为()
选项 A.神经纤维瘤 B.腮腺恶性混合瘤 C.腮腺腺淋巴瘤 D.副神经节瘤 E.腮腺混合瘤
答案 E
解析

猜你喜欢

发表评论
更多 网友评论0 条评论)
暂无评论

访问排行

Copyright © 2012-2014 恰考网 Inc. 保留所有权利。 Powered by tikuer.com

页面耗时0.0498秒, 内存占用1.03 MB, Cache:redis,访问数据库18次