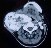
45岁男性,颈部渐进性增大包块,CT增强扫描如图所示,请选择最可能诊断()A.颈部肿大淋巴结B.颈动脉夹层C.神经鞘瘤D.颈动脉体瘤 ...

作者: rantiku 人气: - 评论: 0
问题 45岁男性,颈部渐进性增大包块,CT增强扫描如图所示,请选择最可能诊断()
选项 A.颈部肿大淋巴结 B.颈动脉夹层 C.神经鞘瘤 D.颈动脉体瘤 E.甲状腺癌
答案 D
解析

猜你喜欢

发表评论
更多 网友评论0 条评论)
暂无评论

访问排行

Copyright © 2012-2014 恰考网 Inc. 保留所有权利。 Powered by tikuer.com

页面耗时0.0474秒, 内存占用1.03 MB, Cache:redis,访问数据库13次