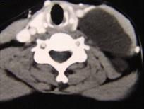
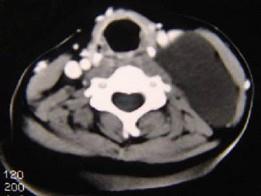
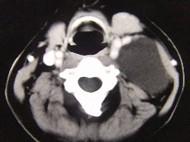
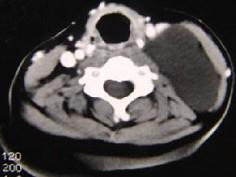
男性,40岁,颈部出现无痛性囊性包块2年余,CT扫描如图所示,最可能诊断为()A.淋巴管瘤B.血管瘤C.淋巴结肿大D.神经源性...

作者: rantiku 人气: - 评论: 0
问题 男性,40岁,颈部出现无痛性囊性包块2年余,CT扫描如图所示,最可能诊断为()
选项 A.淋巴管瘤 B.血管瘤 C.淋巴结肿大 D.神经源性肿瘤 E.颈动脉鞘瘤
答案 A
解析

猜你喜欢

发表评论
更多 网友评论0 条评论)
暂无评论

访问排行

Copyright © 2012-2014 恰考网 Inc. 保留所有权利。 Powered by tikuer.com

页面耗时0.0580秒, 内存占用1.03 MB, Cache:redis,访问数据库19次