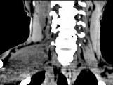
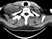
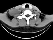
女,47岁,下颈部触及一包块约5年余,CT如图所示,最可能诊断为()A.滑膜肉瘤B.血管瘤C.神经鞘瘤D.副神经节瘤E.巨...

作者: rantiku 人气: - 评论: 0
问题 女,47岁,下颈部触及一包块约5年余,CT如图所示,最可能诊断为()
选项 A.滑膜肉瘤 B.血管瘤 C.神经鞘瘤 D.副神经节瘤 E.巨淋巴结增生症
答案 C
解析

猜你喜欢

发表评论
更多 网友评论0 条评论)
暂无评论

访问排行

Copyright © 2012-2014 恰考网 Inc. 保留所有权利。 Powered by tikuer.com

页面耗时0.0412秒, 内存占用1.03 MB, Cache:redis,访问数据库20次