男,67岁,口咽部异物感约8个月,伴口咽部疼痛,患者无明显发热.如图所示最可能的诊断为()A.扁桃体结核伴淋巴结转移B.扁桃体脓肿伴淋...

作者: rantiku 人气: - 评论: 0
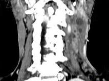
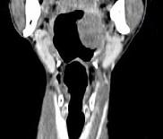
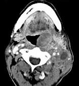
问题 男,67岁,口咽部异物感约8个月,伴口咽部疼痛,患者无明显发热.如图所示最可能的诊断为()
选项 A.扁桃体结核伴淋巴结转移 B.扁桃体脓肿伴淋巴结转移 C.扁桃体癌伴淋巴结转移 D.扁桃体淋巴瘤 E.下咽癌伴淋巴结转移
答案 C
解析

猜你喜欢

发表评论
更多 网友评论0 条评论)
暂无评论

访问排行

Copyright © 2012-2014 恰考网 Inc. 保留所有权利。 Powered by tikuer.com

页面耗时0.0437秒, 内存占用1.03 MB, Cache:redis,访问数据库20次