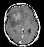
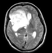
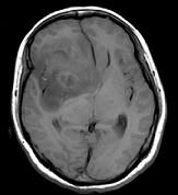
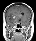
女,32岁,头痛1年,复视4个月,请根据所提供图像,选择最可能的诊断()A.(右额颞)胶质母细胞瘤B.(右额颞)多形性黄色星形细胞瘤 ...

作者: rantiku 人气: - 评论: 0
问题 女,32岁,头痛1年,复视4个月,请根据所提供图像,选择最可能的诊断()
选项 A.(右额颞)胶质母细胞瘤 B.(右额颞)多形性黄色星形细胞瘤 C.(右额颞)混合性胶质瘤(星形细胞和少突细胞) D.(右额颞)毛细胞型星形细胞瘤 E.(右额颞)室管膜下巨细胞星形细胞瘤
答案 C
解析

猜你喜欢

发表评论
更多 网友评论0 条评论)
暂无评论

访问排行

Copyright © 2012-2014 恰考网 Inc. 保留所有权利。 Powered by tikuer.com

页面耗时0.0545秒, 内存占用1.03 MB, Cache:redis,访问数据库19次