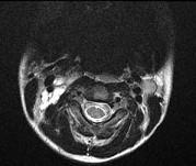
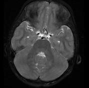
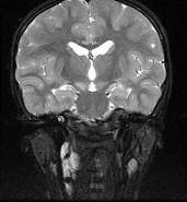
女,13岁,皮肤有多发结节和多发棕色素斑,MR表现如图,最可能的诊断是()A.脸颜面血管瘤病B.结节性硬化C.神经纤维瘤病D....

作者: rantiku 人气: - 评论: 0
问题 女,13岁,皮肤有多发结节和多发棕色素斑,MR表现如图,最可能的诊断是()
选项 A.脸颜面血管瘤病 B.结节性硬化 C.神经纤维瘤病 D.听神经瘤 E.松果体瘤
答案 C
解析

猜你喜欢

发表评论
更多 网友评论0 条评论)
暂无评论

访问排行

Copyright © 2012-2014 恰考网 Inc. 保留所有权利。 Powered by tikuer.com

页面耗时0.0327秒, 内存占用1.03 MB, Cache:redis,访问数据库19次