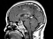
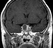
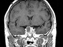
女,45岁,垂体瘤术后7年,2个月前开始诉头痛,视物多模糊,请根据所提供图像,选择最可能的诊断()A.垂体瘤术后改变B.垂体瘤术后恶变...

作者: rantiku 人气: - 评论: 0
问题 女,45岁,垂体瘤术后7年,2个月前开始诉头痛,视物多模糊,请根据所提供图像,选择最可能的诊断()
选项 A.垂体瘤术后改变 B.垂体瘤术后恶变 C.垂体瘤术后出血 D.(垂体)嫌色细胞腺瘤(复发性) E.颅咽管瘤
答案 D
解析

猜你喜欢

发表评论
更多 网友评论0 条评论)
暂无评论

访问排行

Copyright © 2012-2014 恰考网 Inc. 保留所有权利。 Powered by tikuer.com

页面耗时0.0458秒, 内存占用1.03 MB, Cache:redis,访问数据库14次