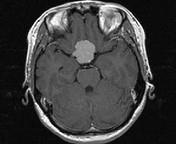
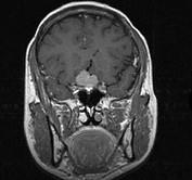
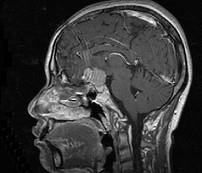
女,32岁,右眼视物模糊1年,加重2月,请根据所提供图像,选择最可能的诊断()A.鞍区脑膜瘤B.鞍区垂体瘤C.鞍区转移瘤D.鞍区海...

作者: rantiku 人气: - 评论: 0
问题 女,32岁,右眼视物模糊1年,加重2月,请根据所提供图像,选择最可能的诊断()
选项 A.鞍区脑膜瘤 B.鞍区垂体瘤 C.鞍区转移瘤 D.鞍区海绵状血管瘤 E.鞍区动脉瘤
答案 A
解析

猜你喜欢

发表评论
更多 网友评论0 条评论)
暂无评论

访问排行

Copyright © 2012-2014 恰考网 Inc. 保留所有权利。 Powered by tikuer.com

页面耗时0.0432秒, 内存占用1.03 MB, Cache:redis,访问数据库20次