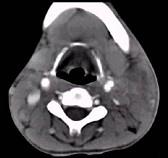
男性,67岁,颈部出现疼痛性肿块半年余,CT扫描如图所示,最可能的诊断是()A.神经鞘瘤B.囊肿C.淋巴结核D.淋巴瘤E.血管瘤

作者: rantiku 人气: - 评论: 0
问题 男性,67岁,颈部出现疼痛性肿块半年余,CT扫描如图所示,最可能的诊断是()
选项 A.神经鞘瘤 B.囊肿 C.淋巴结核 D.淋巴瘤 E.血管瘤
答案 D
解析

猜你喜欢

发表评论
更多 网友评论0 条评论)
暂无评论

访问排行

Copyright © 2012-2014 恰考网 Inc. 保留所有权利。 Powered by tikuer.com

页面耗时0.0376秒, 内存占用1.03 MB, Cache:redis,访问数据库19次